ALAGOAS – Enfermeiro do Mato Grosso é identificado por exame odontológico legal após ser encontrado morto em apartamento

Na última quinta-feira, o Instituto Médico Legal Estácio de Lima, situado em Maceió, Alagoas, identificou o corpo do enfermeiro Artur Santos de Oliveira, de 30 anos e natural do Mato Grosso. O cadáver foi encontrado no início de janeiro em um apartamento no bairro de Petrópolis, na parte alta da cidade.

A identificação só foi possível graças aos exames odontológicos realizados em vida pelo enfermeiro. A odontolegista Isabella Lemos comparou imagens antes e depois da morte, encontrando semelhanças quantitativas, qualitativas e morfológicas que permitiram confirmar a identidade da vítima.

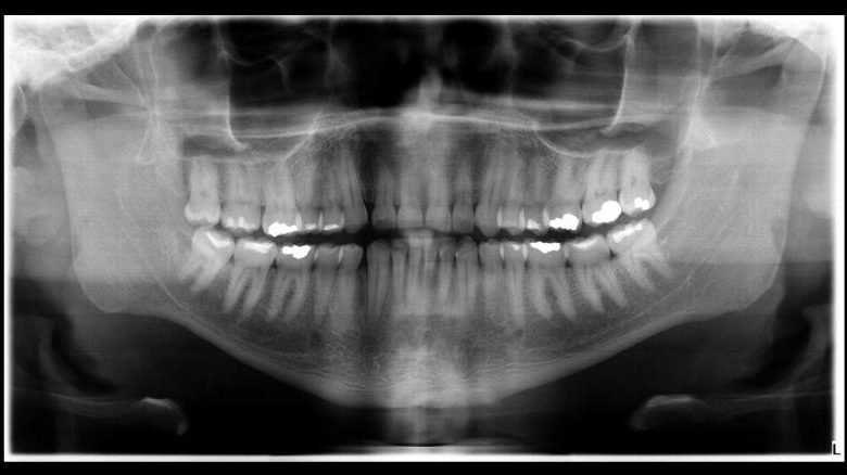
Isabella ressaltou a importância dos exames odontológicos prévios para a identificação de cadáveres, destacando a necessidade de os cirurgiões dentistas manterem registros precisos e completos dos pacientes. Os exames disponibilizados pela família de Artur incluíam fotografias extra-orais, intra-orais, radiografias panorâmicas e cefalometria, sendo fundamentais no processo de identificação.

A identificação oficial do corpo permitiu agilizar o processo de liberação para os familiares, garantindo um atendimento humanizado e o direito às últimas homenagens de despedida. Este caso exemplifica a importância da contribuição dos profissionais de odontologia na área de perícias forenses, ressaltando a importância do registro e armazenamento adequado de documentação odontológica para situações semelhantes.

O trabalho realizado pelo setor de odontologia legal do IML de Maceió serve como exemplo da colaboração interdisciplinar entre diferentes áreas da saúde para garantir a identificação de indivíduos em casos de morte suspeita. A valorização e o reconhecimento da importância dos exames odontológicos prévios destacam a atuação fundamental dos dentistas no processo de identificação de cadáveres.